本文目录一览:
- 1、引起坏死性淋巴结炎的原因是什么
- 2 、坏死性淋巴结炎后遗症
- 3、颈部坏死性淋巴结炎是什么
- 4、坏死性淋巴结炎症状
- 5 、急性全身毒性
引起坏死性淋巴结炎的原因是什么
坏死性淋巴结炎是一种病因尚不明确的淋巴结病变,可能与病毒感染、自身免疫性疾病或药物反应相关 ,主要症状为淋巴结肿大、疼痛及发热,治疗以缓解症状为主,特殊人群需加强关注。病因:目前病因尚未完全明确 ,但病毒感染是常见诱因之一,如EBV(EB病毒) 、CMV(巨细胞病毒)等 。

病因方面:目前认为其发病多与病毒感染相关,常见如EB病毒、疱疹病毒等感染后 ,机体免疫系统被激活,引发异常免疫反应,导致淋巴结出现坏死等病理改变。不过,具体确切病因尚未完全明确 ,可能是在病毒感染基础上,机体免疫调节失衡所致。
引起坏死性淋巴结炎的原因目前尚未完全明确,但多数医生认为其发生可能与免疫力下降和病毒感染有关 。具体分析如下:免疫力下降:当人体免疫系统功能减弱时 ,对病原体的防御能力会降低,可能导致病毒或其他病原体更容易侵入淋巴结,引发炎症反应。

病因分类感染性因素:细菌或病毒直接侵犯淋巴结是常见原因。例如 ,金黄色葡萄球菌、链球菌等化脓性细菌可引发急性淋巴结炎,病毒(如EB病毒)感染则可能导致传染性单核细胞增多症 。此类感染会激活免疫反应,导致淋巴结内淋巴细胞大量增殖 ,若感染持续或加重,可能引发局部缺血坏死。
坏死性淋巴结炎后遗症
坏死性淋巴结炎多数预后良好,少数可能遗留以下后遗症:发热相关后遗症部分患者患病期间发热症状显著 ,少数可能遗留长期低热,这与疾病导致的免疫功能短暂失调有关。儿童因免疫系统发育未完善,出现长期低热的概率可能稍高,但需结合个体恢复情况判断。
常见后遗症类型组织坏死性淋巴结炎治愈后 ,部分患者可能遗留持续症状,主要包括:淋巴结肿大:感染恢复后,部分患者淋巴结仍可能持续肿大 ,但通常无压痛或活动性异常 。长期低热:少数患者可能反复出现低热(体温≤38℃),持续时间可能达数周至数月。
坏死性淋巴结炎治愈后可能遗留以下后遗症:持续或反复发热发热可持续数周至数月,体温多在38℃~39℃之间 ,常伴随寒战、乏力等全身症状。此现象可能与免疫系统异常激活或残留炎症反应有关,需通过定期监测体温变化评估病情 。
坏死性淋巴结炎部分患者在原发病治愈后可能留下以下后遗症,具体表现和影响因个人体质而异: 持续发热部分患者治愈后仍会出现长期低热 ,体温波动在35-35℃之间,可持续数周至数月。这种发热可能与免疫系统异常激活或炎症因子持续释放有关,需通过血常规 、炎症指标等检查排除其他感染或肿瘤性疾病。
多数坏死性淋巴结炎预后良好坏死性淋巴结炎多为良性自限性疾病 ,其典型表现为发热、颈部等部位淋巴结肿大,实验室检查可见外周血淋巴细胞比例升高、血沉增快,影像学检查提示淋巴结肿大 。
颈部坏死性淋巴结炎是什么
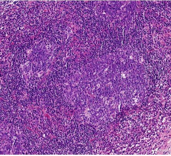
1 、坏死性淋巴结炎是一种自限性疾病,易误诊 ,需专业医院确诊。坏死性淋巴结炎,又称组织细胞坏死性淋巴结炎、菊池病,是一种主要累及淋巴结的非肿瘤性淋巴结增大性疾病 ,属于淋巴结反应性增生病变。该病主要表现为颈部或其他部位的淋巴结肿大、疼痛 、发热等症状,且易误诊 。
2、坏死性淋巴结炎是一种病因尚不明确的淋巴结病变,可能与病毒感染、自身免疫性疾病或药物反应相关 ,主要症状为淋巴结肿大 、疼痛及发热,治疗以缓解症状为主,特殊人群需加强关注。病因:目前病因尚未完全明确 ,但病毒感染是常见诱因之一,如EBV(EB病毒)、CMV(巨细胞病毒)等。
3、坏死性淋巴结炎是一种较为少见的非肿瘤性 、反应性淋巴结增大性疾病,主要累及淋巴结 ,以淋巴结内出现坏死为病理特征 。病因方面:目前认为其发病多与病毒感染相关,常见如EB病毒、疱疹病毒等感染后,机体免疫系统被激活,引发异常免疫反应 ,导致淋巴结出现坏死等病理改变。
坏死性淋巴结炎症状
坏死性淋巴结炎的症状主要包括发热、淋巴结肿大、皮疹 、肝脾肿大,部分患者可能无明显症状,具体如下:发热热型多样 ,可呈弛张热、低热或不规则热,最高体温可达39~40℃,也有间歇性发热的情况 ,部分患者体温正常。发热持续时间差异较大,一般持续1~2周,个别患者可持续高热达1~2个月甚至更长时间 ,但通常可自行消退。
症状:典型表现为淋巴结肿大(多见于颈部、腋窝或腹股沟) 、疼痛,伴发热(体温可达38℃-39℃) 。部分患者可能出现乏力、关节痛、皮疹等非特异性症状。症状通常在数周内自行缓解,但淋巴结肿大可能持续较长时间。诊断:需结合症状 、体征及实验室检查 。
坏死性淋巴结炎的典型经历通常包括持续发热、淋巴结肿痛、抗生素治疗无效 、最终通过活检确诊 ,并采用激素治疗有效,期间可能伴随药物过敏等状况。具体如下:初期症状与误判:患者最初表现为低热(未超过38℃),精神状态良好,容易被忽视。随后体温骤升至39℃ ,并出现头颈疼痛、淋巴结肿大且压痛的症状 。
急性全身毒性
急性血源性骨髓炎的全身毒性反应症状如下:全身高热症状患者体温可高达39℃以上,甚至达40℃,高热常伴寒战 ,即骨骼肌不自主收缩以产热。这是由于细菌在骨髓内繁殖并释放毒素入血,刺激体温调节中枢导致。高热导致代谢加快、能量消耗增加,引发乏力 、疲倦等不适 。
全身毒性的类型:急性毒性(Acute Toxicity):急性毒性在暴露后几乎立即发生 ,通常是在24小时内接受单次剂量或一系列剂量所致。例如,每年都有许多人因吸入有故障的加热器产生的一氧化碳而死亡,这就是一种典型的急性毒性作用。
呼吸系统症状:中毒后 ,呼吸道可能因分泌物增多或肺水肿而阻力增加,导致呼吸困难 。患者表现为呼吸频率加快、深度加深,严重时出现鼻翼扇动、口唇紫绀(缺氧表现)。若毒素直接损伤肺组织 ,可能引发急性呼吸窘迫综合征(ARDS)。
氯醋酸甲酯的急性毒性主要通过以下方式影响人体:主要侵入途径:吸入:通过呼吸道进入人体,可能引发呼吸道刺激和损伤。食入:通过消化系统摄入,可能导致严重的中毒症状 。经皮吸收:皮肤直接接触后,氯醋酸甲酯可渗透进入体内 ,对皮肤造成刺激和伤害。
急性全身性毒性:意外将局麻药注入血管,可能立即产生毒性反应。当给药过量时需要1-2小时才达到血浆峰值浓度,达峰时间取决于注射部位 。因此中毒症状会延迟出现。全身性中毒反应可能包括中枢神经系统和心血管系统。中枢神经系统中毒是通过逐渐加重的症状和体征逐步反应出来 。
本文来自作者[东城西旧]投稿,不代表点新号立场,如若转载,请注明出处:https://dxalshfzz.com/cshi/202603-1456.html
评论列表(3条)
我是点新号的签约作者“东城西旧”
本文概览:本文目录一览: 1、引起坏死性淋巴结炎的原因是什么 2、坏死性淋巴结炎后遗症...
文章不错《组织细胞坏死性淋巴结炎(组织细胞坏死性淋巴结炎是什么病)》内容很有帮助